Top 11+ Địa Chỉ Niềng Răng Uy Tín Nhất Tại TPHCM

Kỹ thuật chỉnh nha hiện đại, hiệu quả cao tại nha khoa Parkway

Bạn muốn tìm nha khoa niềng răng uy tín tại TPHCM nhưng chưa biết đâu mới thực sự là nơi đáng để “chọn mặt gửi vàng”? Vậy hãy xem những gợi ý được Booking heal chia sẻ ngay trong bài sau. Bạn sẽ biết cách chọn được địa chỉ chuyên nghiệp, sở hữu kỹ thuật niềng răng hiện đại để khắc phục nhược điểm hàm răng hiệu quả khi đặt lịch chỉnh nha.

Tiêu chí chọn nha khoa niềng răng uy tín Hồ Chí Minh

Có 7  tiêu chí bạn cần biết khi tìm nha khoa niềng răng uy tín TP HCM gồm:

  • Tay nghề bác sĩ giỏi, có chứng chỉ hành nghề đầy đủ, thâm niên đáng tin cậy trong lĩnh vực niềng răng.
  • Địa chỉ có trang thiết bị hiện đại với máy móc tiên tiến để đảm bảo chất lượng chỉnh nha tốt.
  • Sử dụng vật liệu niềng răng với chất lượng tốt, xuất xứ rõ ràng, 100% chính hãng.
  • Nha khoa cung cấp nhiều kỹ thuật niềng răng để khách hàng chọn theo nhu cầu cũng như mức tài chính hiện có.
  • Báo chi phí chỉnh nha công khai, có chính sách ưu đãi và tốt nhất là có hỗ trợ trả góp.
  • Nhận được nhiều phản hồi tốt từ các vị khách đã từng niềng răng ở nha khoa cũng là tiêu chí cần cân nhắc trước khi lựa chọn.
  • Dịch vụ niềng răng luôn có hợp đồng rõ ràng, minh bạch và cam kết bảo hành dài lâu, uy tín.
Nha khoa niềng răng uy tín có nhiều lựa chọn kỹ thuật chỉnh nha khác nhau
Nha khoa niềng răng uy tín có nhiều lựa chọn kỹ thuật chỉnh nha khác nhau

Top 11+ nha khoa niềng răng uy tín dẫn đầu thị trường tại TPHCM

Với các nha khoa niềng răng uy tín được cập nhật dưới đây, việc lựa chọn địa chỉ đáng tin để “chỉnh đốn” hàm răng vào đúng vị trí sẽ dễ dàng hơn rất nhiều.

1.Nha khoa I-Dent

  • Địa chỉ:
  • Cơ sở 1: 193A – 195 Hùng Vương, Phường 9, Quận 5, TP.HCM
  • Cơ sở 2: 19V Nguyễn Hữu Cảnh, Phường 19, Quận Bình Thạnh, TP.HCM
  • Thời gian hoạt động: Thứ 2 – thứ 7 (8h00 – 20h00) và chủ nhật (8h00 – 12h00)

Từ năm 2026, nha khoa I-Dent đã được thành lập và trở thành điểm đến chuyên nghiệp, uy tín của khách hàng tại TPHCM khi cần chỉnh nha. Hơn 8000 ca niềng răng đã được nha khoa thực hiện thành công, mang đến nụ cười tự tin cho khách hàng trong gần 10 năm qua.

Quy trình niềng răng ở I-Dent đạt chuẩn ISO 9001:2015. Nha khoa sử dụng hệ thống mắc cài Ormco của Mỹ, đảm bảo hiệu quả chỉnh nha rất tốt. Cùng với đó là tay nghề bác sĩ giỏi, luôn nỗ lực đưa ra phác đồ niềng răng phù hợp nhất với cơ địa răng miệng của khách hàng và tối ưu chi phí. 

Phác đồ niềng răng chuẩn xác theo cơ địa khách hàng tại I-Dent 
Phác đồ niềng răng chuẩn xác theo cơ địa khách hàng tại I-Dent

Ngoài ra, nha khoa I-Dent hiện hỗ trợ nhiều kỹ thuật từ niềng răng mắc cài kim loại, mắc cài sứ cho đến niềng invisalign trong suốt. Khách hàng sẽ dễ dàng chọn được phương pháp chỉnh nha phù hợp để yên tâm sở hữu nụ cười đều đẹp như mong muốn.

2.Bệnh viện Răng Hàm Mặt TPHCM

  • Địa chỉ: 263 – 265 Trần Hưng Đạo, phường Cô Giang, Quận 1, TP.HCM
  • Thời gian hoạt động: Thứ 2 – thứ 7 (7h30 – 21h00) và chủ nhật (8h00 – 14h00)

Gần 50 năm hoạt động, Bệnh viện Răng Hàm Mặt TPHCM luôn là điểm đến đáng tin khi khách hàng cần tìm địa chỉ niềng răng uy tín ở TPHCM. Các bác sĩ trực tiếp khám, tư vấn và niềng răng đều là người có chuyên môn trong lĩnh vực chỉnh hình răng hàm mặt. Các thiết bị được ứng dụng ở đây đảm bảo cho kết quả khám, chẩn đoán tình trạng hàm răng chính xác để các bác sĩ tư vấn phương pháp niềng răng phù hợp theo từng đối tượng.

Bệnh viện Răng Hàm Mặt TPHCM chuyên niềng răng với chất lượng vượt trội
Bệnh viện Răng Hàm Mặt TPHCM chuyên niềng răng với chất lượng vượt trội

Ngoài ra, chi phí chỉnh nha ở bệnh viện này khá ưu đãi khi so sánh với mặt bằng chung. Mỗi ca niềng răng cũng được bệnh viện bảo hành kết quả lâu dài, mang đến sự tin tưởng cho bất cứ ai khi đặt lịch thăm khám, chỉnh nha ở bệnh viện.

3.Nha khoa Up Dental

  • Địa chỉ: Số 02 đường Võ Oanh, Phường 25, Quận Bình Thạnh, TP.HCM
  • Thời gian hoạt động: Thứ 2 – chủ nhật (8h30 – 21h00)

Thế mạnh của nha khoa Up Dental chính là kỹ thuật niềng răng chuyên sâu với quy trình sát sao hỗ trợ “1 khách hàng – 1 bác sĩ”. Nhiều phương pháp niềng được ứng dụng tại đây như niềng răng trong suốt, niềng răng mắc cài sứ hay mắc cài kim loại….

Các phương pháp niềng răng tiên tiến tại Up Dental 
Các phương pháp niềng răng tiên tiến tại Up Dental

Ngoài ra, nha khoa còn ứng dụng nhiều thiết bị chuyên sâu nhằm đảm bảo kết quả niềng răng tốt nhất như máy X-Quang Sirona, phòng nha vô trùng, máy chụp CT Cone Beam 3D, công nghệ hấp sấy tiên tiến kết hợp tia UV khử khuẩn… Chi phí chỉnh nha ở Up Dental không chỉ báo rõ ràng, cạnh tranh mà còn được hỗ trợ trả góp, giúp giảm gánh nặng tài chính rất hiệu quả.

4.Nha khoa Kim 

  • Địa chỉ
  • 150 – 152 Hai Bà Trưng, P.Đa Kao, Q.1
  • A43 – 187A Cống Quỳnh, P.Nguyễn Cư Trinh, Q.1
  • 345 Lê Văn Sỹ, P.12, Q.3
  • 500 – 502 Nguyễn Thị Minh Khai, P.2, Q.3
  • Giờ làm việc: Thứ 2 – chủ nhật (8h00 – 18h30)

Đây không chỉ là thương hiệu nha khoa chuyên niềng răng uy tín TP HCM mà còn nổi tiếng khắp cả nước với hệ thống chi nhánh rộng lớn. Nha khoa Kim chinh phục khách hàng bằng thâm niên đáng tin cậy, đội ngũ bác sĩ giỏi được đào tạo chuyên sâu cả trong nước và quốc tế. Cùng với đó là chất lượng vật liệu cao cấp, đảm bảo kết quả chỉnh nha vượt trội, an toàn.

Niềng răng trong suốt thẩm mỹ cao tại nha khoa Kim
Niềng răng trong suốt thẩm mỹ cao tại nha khoa Kim

Tại nha khoa Kim, bạn có thể chọn nhiều phương pháp niềng răng khác nhau với chi phí báo trọn gói và khá cạnh tranh so với thị trường. Cùng với đó, địa chỉ này cũng thường xuyên áp dụng ưu đãi, đảm bảo tối ưu túi tiền cho bạn khi trải nghiệm dịch vụ chỉnh nha.

5.Nha khoa Lạc Việt Intech

  • Địa chỉ: 90 – 92 Ngô Gia Tự, phường 9, quận 10, TP.HCM
  • Giờ làm việc: Thứ 2 – chủ nhật (8h00 – 18h30)

Rất nhiều khách hàng khi niềng răng tại Lạc Việt Intech đều đánh giá hài lòng với tác phong chuyên nghiệp cùng tay nghề cao của đội ngũ bác sĩ. Địa chỉ này cũng khẳng định được uy tín thương hiệu trong lĩnh vực chỉnh nha với hơn 40.000 ca niềng răng được thực hiện thành công. 

Chỉnh nha chất lượng, an toàn tại Lạc Việt Intech
Chỉnh nha chất lượng, an toàn tại Lạc Việt Intech

 Bên cạnh đó, báo giá chi phí chỉnh nha ở Lạc Việt Intech ở mức phải chăng, có nhiều lựa chọn tùy theo phương pháp niềng như niềng mắc cài sứ, niềng răng trong suốt, niềng mắc cài kim loại,… Mỗi ca chỉnh nha đều được Lạc Việt Intech cam kết chất lượng, bảo hành lâu dài bằng hợp đồng rõ ràng, minh bạch.

6.Nha khoa Elite Dental

  • Địa chỉ: 75 Huỳnh Tịnh Của, Phường Võ Thị Sáu, Quận 3, TP.HCM
  • Giờ làm việc: Thứ 2 – chủ nhật (8h00 – 19h30)

Ra mắt lần đầu tiên vào năm 2012, cho đến nay, nha khoa Elite Dental đã tạo dựng được vị thế vững chắc và trở thành địa chỉ niềng răng uy tín ở TPHCM được hàng ngàn người tin tưởng. Dịch vụ ở đây hỗ trợ chỉnh nha cho cả trẻ em và người lớn với cam kết “An toàn – Chất lượng – Tiết kiệm”.

Nha khoa Elite Dental sử dụng vật liệu niềng răng đạt chuẩn FDA Hoa Kỳ kết hợp kỹ thuật chỉnh nha cung Meaw tiên tiến, hỗ trợ răng dịch chuyển về đúng vị trí hiệu quả, rút ngắn thời gian niềng răng tối ưu. Đặc biệt, với chính sách hỗ trợ trả góp 0% được nha khoa áp dụng giúp bạn giảm áp lực kinh tế khi niềng răng rất hiệu quả.

Vật liệu chỉnh nha chuẩn FDA Hoa Kỳ tại nha khoa Elite Dental 
Vật liệu chỉnh nha chuẩn FDA Hoa Kỳ tại nha khoa Elite Dental

7.Nha khoa Parkway

  • Địa chỉ: 215 Nam Kỳ Khởi Nghĩa, Phường 7, Quận 3, TP.HCM (và 9 cơ sở khác tại TP.HCM)
  • Giờ làm việc: Thứ 2 – chủ nhật (8h30 – 18h30)

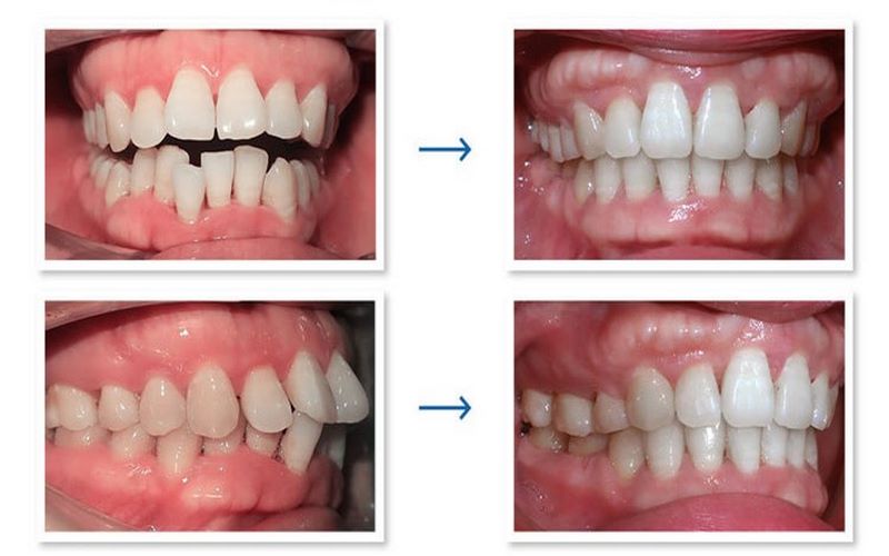
Hệ thống nha khoa Parkway đã có gần 10 năm kinh nghiệm với hệ thống trang thiết bị đạt chuẩn Singapore. Nha khoa đã thực hiện chỉnh nha thành công cho hơn 61.000 khách hàng và trở thành điểm đến uy tín cho các vị khách ở TPHCM và các tỉnh thành lân cận khi cần niềng răng.

Kỹ thuật chỉnh nha hiện đại, hiệu quả cao tại nha khoa Parkway
Kỹ thuật chỉnh nha hiện đại, hiệu quả cao tại nha khoa Parkway

Ở Parkway, bạn có thể chọn được phương pháp chỉnh nha phù hợp kết cấu hàm răng cũng như kinh tế như niềng mắc cài, khay niềng trong suốt,… Tất cả đều được bác sĩ tư vấn kỹ càng để giúp bạn đưa ra lựa chọn chính xác nhất. Mỗi ca niềng răng đều được nha khoa Parkway cam kết chất lượng bằng hợp đồng minh bạch cùng chính sách bảo hành dài lâu uy tín.

8.Bệnh viện Worldwide chuyên Răng Hàm Mặt

  • Địa chỉ: 244A đường Cống Quỳnh, Phường Phạm Ngũ Lão, Quận 1, TP.HCM
  • Giờ làm việc: Thứ 2 – thứ 7 (8h00 – 12h00 và 14h00 – 18h00) và chủ nhật (8h00 – 12h00)

Từ năm 1994, bệnh viện Worldwide chuyên khoa Răng Hàm Mặt đã được thành lập với đẩy đủ giấy phép theo đúng quy định. Đây luôn nằm trong top nha khoa niềng răng uy tín TPHCM đạt chuẩn 5 sao và nhận được tới 96% tỷ lệ khách hàng hài lòng tại các trang đánh giá đáng tin cậy.

Bệnh viện Worldwide chuyên niềng răng uy tín ở TPHCM
Bệnh viện Worldwide chuyên niềng răng uy tín ở TPHCM

Tại bệnh viện Worldwide, các bác sĩ được tuyển dụng đều là người có chuyên môn cao trong lĩnh vực chỉnh nha với kinh nghiệm dày dặn. Thiết bị được sử dụng ở đây cũng rất hiện đại gồm: máy siêu âm Piezotome, phần mềm Clincheck, máy scan Itero,… Chi phí niềng răng ở bệnh viện khá ưu đãi và luôn kèm theo chính sách trả góp 0% cùng cam kết bảo hành rất uy tín, hỗ trợ theo dõi kết quả sau niềng răng không giới hạn.

9.Nha khoa Đăng Lưu 

  • Địa chỉ: 34 Phan Đăng Lưu, Phường 6, Quận Bình Thạnh, TP.HCM (và 7 cơ sở khác tại TP.HCM)
  • Giờ làm việc: Thứ 2 – thứ 7 (8h00 – 20h00) và chủ nhật (8h00 – 17h00)

Với bề dày 20 năm kinh nghiệm, nha khoa Đăng Lưu đã trở thành cơ sở niềng răng uy tín tại TPHCM thu hút đông đảo khách hàng tìm đến để sở hữu nụ cười đều đẹp. Nha khoa đã chỉnh nha thành công cho hơn 50.000 khách hàng với kết quả vượt trội, không chỉ chuẩn khớp cắn mà còn hạn chế tối đa cảm giác đau nhức hay khó chịu trong quá trình niềng răng.

Kết quả niềng răng hoàn hảo tại nha khoa Đăng Lưu
Kết quả niềng răng hoàn hảo tại nha khoa Đăng Lưu

Rất nhiều kỹ thuật niềng răng được nha khoa Đăng Lưu ứng dụng, nổi bật nhất là phương pháp niềng trong suốt 3D Cleara được phát triển bởi bác sĩ Nguyễn Quang Tiến – Thạc sĩ chuyên ngành niềng răng được đào tạo tại đại học Münster (Đức). Ngoài ra, nha khoa cũng báo giá công khai, hợp lý, không lo phụ phí và thường xuyên có ưu đãi đi kèm giúp khách hàng có được lợi ích tiết kiệm như mong muốn.

10.Nha khoa Dr. Vương

  • Địa chỉ:
  • Cơ sở 1: 108 Đặng Văn Bi, phường Bình Thọ, TP.Thủ Đức, TP.HCM
  • Cơ sở 2: 90 – 92 Châu Văn Liêm, Phường 11, Quận 5, TP.HCM
  • Giờ làm việc: Thứ 2 – chủ nhật (8h00 – 20h00)

Nói đến dịch vụ niềng răng uy tín tại TP.HCM thì Dr. Vương luôn là điểm đến rất uy tín giúp khách hàng yên tâm khi lựa chọn chỉnh nha. Hơn 14 năm phát triển, địa chỉ này đã thành công hỗ trợ hơn 15.000 ca niềng răng từ mức đơn giản cho tới phức tạp.

Đội ngũ bác sĩ trực tiếp thực hiện các kỹ thuật niềng răng ở nha khoa Dr. Vương có tay nghề vững, chuyên môn đáng tin cậy. Chính vì vậy, các khách hàng khi chỉnh nha đều có được sự an tâm với kết quả nhận được khi trải nghiệm dịch vụ. Điều này còn được thể hiện rõ ở chính sách bảo hành lâu dài và sự tận tâm khi tư vấn, thăm khám trong và sau khi niềng răng tại nha khoa.

Bác sĩ niềng răng giàu kinh nghiệm tại nha khoa Dr.Vương
Bác sĩ niềng răng giàu kinh nghiệm tại nha khoa Dr.Vương

11.Nha Khoa Tâm Đức Smile

  • Địa chỉ: 52 Tân Kỳ Tân Quý, phường Tây Thạnh, TP.HCM
  • Giờ làm việc: Thứ 2 – chủ nhật 08:00 AM – 19:30 PM

Chọn Tâm Đức Smile để niềng răng luôn khiến khách hàng ở TPHCM hài lòng trong những năm qua. Dịch vụ tại đây trang bị thiết bị tiên tiến như máy Itero 5D, máy siêu âm Piezotome,… và hỗ trợ nhiều kỹ thuật chỉnh nha hiện đại từ niềng trong suốt đến niềng mắc cài,…

Tâm Đức Smile hỗ trợ khách hàng nhiều phương pháp niềng răng tiên tiến
Tâm Đức Smile hỗ trợ khách hàng nhiều phương pháp niềng răng tiên tiến

Với quy trình niềng răng đạt chuẩn chất lượng cùng sự tỉ mỉ, tận tâm của các bác sĩ có chuyên môn cao giúp khách hàng khi đến Tâm Đức Smile đều sở hữu hàm răng đều đẹp, cân đối. Các vấn đề như răng hô, móm, khấp khểnh,… đều được xử lý hiệu quả, không lo biến chứng phát sinh trong quá trình chỉnh nha. 

Chi phí niềng răng cũng được Tâm Đức Smile báo rõ ràng và luôn cam kết không phụ phí. Đây là lý do hàng ngàn người tại TPHCM và các khu vực xung quanh đã chọn địa chỉ này để yên tâm đưa hàm răng về đúng “hàng ngũ” trong suốt nhiều năm qua.

Hy vọng, thông tin về các địa chỉ niềng răng uy tín TP HCM được Booking heal cập nhật ở bài trên sẽ giúp bạn có được lựa chọn phù hợp nhu cầu và yên tâm khi trải nghiệm dịch vụ. Ngoài ra, nếu bạn muốn đặt lịch thăm khám nhanh gọn, tiện lợi có thể truy cập ngay địa chỉ https://bookingheal.com để được hỗ trợ mọi lúc chỉ với thao tác thực hiện rất đơn giản.

0 0 votes
Article Rating
Subscribe
Notify of
guest
0 Comments
Oldest
Newest Most Voted
Inline Feedbacks
View all comments
Home
Account
Cart
Search
0
Would love your thoughts, please comment.x
()
x
Chat Support
Đang tải...